Naturheilpraxis

Jörg H. Schmidt

Heilpraktiker und Physiotherapeut

Myofasziale Schmerztherapie

Frequenzspezifischer Mikrostrom

Fehlstellungen des Beckens

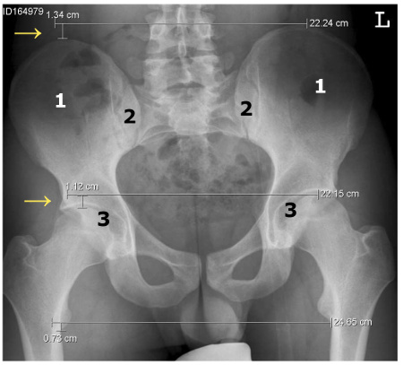
Ausgangspunkt vieler Beschwerden im Bewegungsapparat ist das Becken. Es besteht aus den beiden Hüftbeinen (siehe "1" auf dem Röntgenbild unten), die über das Iliosakralgelenk (ISG, siehe "2") mit dem Kreuzbein verbunden sind. Bei der Beckenverwringung sind die beiden Hüftbeine gegeneinander verdreht. Dies führt zu einer veränderten Lage der beiden Hüftgelenkspfannen (siehe "3"), weshalb ein Bein kürzer als das andere erscheint (siehe "→"). Man spricht von einer funktionellen Beinlängendifferenz. Das ist ein scheinbarer Unterschied der Beinlängen infolge einer Fehlstellung des Beckens und der Wirbelsäule - im Gegensatz zu einer anatomischen Beinlängendifferenz, bei der die Beine tatsächlich verschieden lang sind.

Beckenverwringung

Die Beckenverwringung führt aber nicht nur zu scheinbar verschieden langen Beinen, sondern auch zur Fehlstellung des Kreuzbeins und der Wirbelsäule, was sich bis hinauf zu den Halswirbeln negativ auswirken kann.

Die Beckenverwringung entsteht meistens durch Stürze,
die schon weit zurückliegen können, zum Beispiel aus der Kindheit.